1 : みつを ★ 2019/07/26(金) 06:05:05.99 ID:fx7QNqAl9.net
ざっくりまとめると
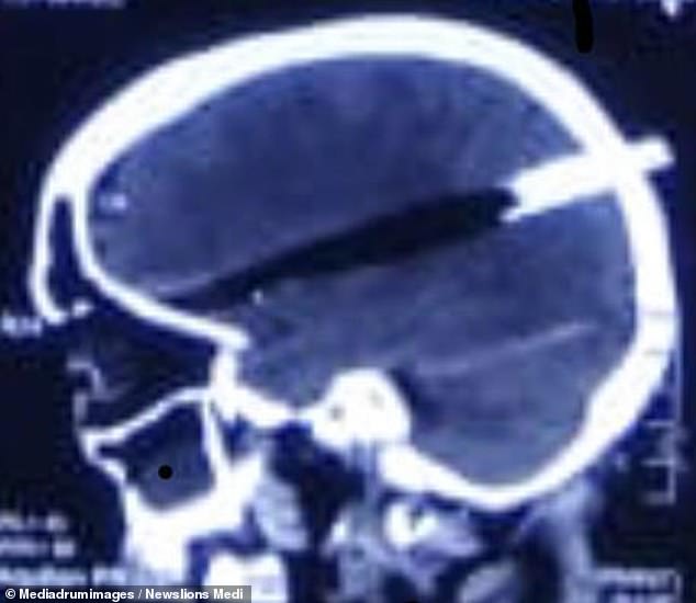
・インドのムンバイで女性がキッチンですっ転んだ
・運悪く熱々の圧力鍋の蓋が頭に突き刺さった
・手術して元気になった
https://www.dailymail.co.uk/health/article-7285535/Woman-pan-lid-removed-SKULL.html
2 : 名無しさん@1周年 2019/07/26(金) 06:06:11.05 ID:SdCkXGDI0.net
3 : 名無しさん@1周年 2019/07/26(金) 06:06:23.60 ID:DA7lKGUZ0.net
http://ai.2ch.sc/test/read.cgi/newsplus/1564088705/
|
|
- ダンベル何キロ持てる?とかいうアニメ
- 【44枚】陽キャのGIFとかを貼るスレ part2
- 【悲報】林修、クイーンのボーカルを知らない
- おんj深夜の心霊写真部
- イベントでトラブルになった相手の頭に火炎放射した予備校生(19)、無事逮捕
- タイに1ヶ月いたワイの身に起こった出来事で打線組んだwxwxwxwxwxwxwxwxwxwxwxwxwxwxwxwxw
- 【超速報】ワイバイト有能、アンケートに自分でクレームを入れやむを得ずやめることに成功
- 【アウト】Switchの脱衣麻雀、規制ミスして完全に見えてしまうwwwwwwww
- 【アカン...】今田耕司さん、まさかの吉本社長退陣要求
- 【ガチ恐怖】これが好きなヒトができたオンナノコの行動だょ♥️
- 【速報】ロンブー田村淳、ギャラ配分を公表へ「何対何か、僕は言いますよ」
- みなさーん!今年から色々税制変わりますよー!
- 【悲報】岩倉市の職員さん「あかん、ミスして投票用紙が1枚多くなってしもた…せや!」 → 結果wwwwwww
- 多摩地区は奇跡の土地だと思う
- 【閲覧注意26枚】夏だし怖い画像や痛そうな画像を集めよう
- 夜はクーラー消せよwwwwwwwwwwwwwww
- 韓国人「日本で高まる嫌韓感情‥」平凡な日本人も韓国に対して疲労を感じる理由とは? 韓国の反応
- 【悲報】無職さん(31)、マッマから昼ごはんの差し入れがありブチギレ
- 【有能】掛橋沙耶香の”ブラ紐チラリ”は”あのメンバー”のお陰だった!?!?※gifあり
- 6歳ユーチューバー、8億円超のビルを購入してしまう
4 : 名無しさん@1周年 2019/07/26(金) 06:06:44.87 ID:/kYwtScs0.net
7 : 名無しさん@1周年 2019/07/26(金) 06:06:58.10 ID:DFwfUOUl0.net
8 : 名無しさん@1周年 2019/07/26(金) 06:07:41.67 ID:bYzHOk6J0.net
10 : 名無しさん@1周年 2019/07/26(金) 06:08:02.79 ID:MgJg4+Wj0.net
14 : 名無しさん@1周年 2019/07/26(金) 06:11:40.80 ID:yiDF7wut0.net
15 : 名無しさん@1周年 2019/07/26(金) 06:11:46.85 ID:QAPJWLea0.net
18 : 名無しさん@1周年 2019/07/26(金) 06:14:54.61 ID:HPPfFntdO.net
24 : 名無しさん@1周年 2019/07/26(金) 06:19:33.02 ID:qipEqTfD0.net
25 : 名無しさん@1周年 2019/07/26(金) 06:20:21.13 ID:bANIsagUO.net
26 : 名無しさん@1周年 2019/07/26(金) 06:20:46.89 ID:IbOpTwMl0.net
鋭利な圧力鍋に自分が刺さりに行っただけかw
27 : 見ませんw 2019/07/26(金) 06:24:15.96 ID:UoEOG9li0.net
58 : 名無しさん@1周年 2019/07/26(金) 07:08:35.90 ID:aKxHytYo0.net
取っての形状からしてクラシックのやつだな
くすみからしてアルミ製
https://www.hawkinscookers.com/1.1.1.hawkinsclassic.asp
音が恐ろしいと言う理由で日本では人気がなく、あまり出回ってない
フック固定は見たことない人が大半のはずで、蓋をかぶせて回すスライドロックが主流
31 : 名無しさん@1周年 2019/07/26(金) 06:29:55.95 ID:BbTV5+7y0.net
37 : 名無しさん@1周年 2019/07/26(金) 06:38:31.55 ID:MAnmGsho0.net
抜ける圧力で鳴る笛をつけてた、かな、原文によると
患者、異物、それぞれの固定を真っ先に考えるはずなので、
なんかのフェイク、ジョークじゃないか、と思ってみたり
50 : 名無しさん@1周年 2019/07/26(金) 06:51:54.72 ID:BbTV5+7y0.net
ありがとう
日本の圧力鍋とは随分違うみたいだな
32 : 名無しさん@1周年 2019/07/26(金) 06:30:13.56 ID:rJsZrZO80.net
33 : 名無しさん@1周年 2019/07/26(金) 06:31:43.39 ID:BDnwBLOD0.net
34 : 名無しさん@1周年 2019/07/26(金) 06:32:20.60 ID:XvHM4btq0.net
35 : 名無しさん@1周年 2019/07/26(金) 06:34:33.94 ID:Dg6qz5At0.net
38 : 名無しさん@1周年 2019/07/26(金) 06:39:12.56 ID:xyIArcME0.net
99 : 名無しさん@1周年 2019/07/26(金) 08:39:17.00 ID:iuM68+YP0.net
いやいや、蓋は頭にぶら下がってるだろ。
42 : 名無しさん@1周年 2019/07/26(金) 06:41:46.34 ID:DmIWZvIC0.net
なんで生きてるの?
43 : 名無しさん@1周年 2019/07/26(金) 06:42:03.71 ID:/6pwyHQ80.net
47 : 名無しさん@1周年 2019/07/26(金) 06:46:03.69 ID:iKb24CBp0.net
51 : 名無しさん@1周年 2019/07/26(金) 06:52:19.47 ID:O92zXXdb0.net
どの家庭にも必ずある
でも俺の知ってるのは尖ってない
インド人つおい!
53 : 名無しさん@1周年 2019/07/26(金) 06:54:42.24 ID:0KRptGG40.net
人類のアタマに刺さったもの図鑑でもつくってほしい
55 : 名無しさん@1周年 2019/07/26(金) 06:58:50.14 ID:wqNety9b0.net
63 : 名無しさん@1周年 2019/07/26(金) 07:29:13.17 ID:dO22awLr0.net
65 : 名無しさん@1周年 2019/07/26(金) 07:35:40.19 ID:2XHcZ1CD0.net
66 : 名無しさん@1周年 2019/07/26(金) 07:36:45.08 ID:5pFksKCf0.net
73 : 名無しさん@1周年 2019/07/26(金) 07:43:19.74 ID:Sv8qDrkx0.net
76 : 名無しさん@1周年 2019/07/26(金) 07:51:06.47 ID:8yTjJaZL0.net
小脳や延髄が無傷だから?
83 : 名無しさん@1周年 2019/07/26(金) 07:55:38.49 ID:f7Za7hiy0.net
84 : 名無しさん@1周年 2019/07/26(金) 07:56:38.40 ID:5QxzzWly0.net
88 : 名無しさん@1周年 2019/07/26(金) 08:02:58.04 ID:pAS6NSBu0.net
95 : 名無しさん@1周年 2019/07/26(金) 08:21:31.04 ID:b31sV6o40.net
110 : 名無しさん@1周年 2019/07/26(金) 10:09:26.24 ID:FB3B7mdy0.net
115 : 名無しさん@1周年 2019/07/26(金) 10:21:39.04 ID:nkwiho/W0.net
133 : 名無しさん@1周年 2019/07/26(金) 13:16:47.51 ID:6cvIViMB0.net
ここでインド人を右に
- サッカークラブ監督にレジャーシートを投げつけられた中学生 頭蓋骨骨折の重傷
- ゾウ「グエー死んだぞう」 昔の人「なんやこの頭蓋骨!?!?」
- 【画像あり】本物の頭蓋骨貰った!
- アルゼンチンのサッカーファン、チームの優勝を祝うため亡き祖父の頭蓋骨を掘り起こす
- サイの密猟者、ゾウに殺され、ライオンに食べられ頭蓋骨だけになる
- 【悲報】あの人気女性アイドル、万引きして逮捕・・・
- 大阪地裁「人にぶつかる可能性は低く故意ではない」 12階から自転車投げて女性に大けがさせた男に執行猶予
- 【動画】陽キャさん、ナンパした女性にぶん殴られてしまう
- 尖った作風で有名な芸術家・会田誠さんの講義を受けた女性、環境型セクハラを受けたとして大学を提訴
- 【悲報】肉食系女性巡査、3人の巡査長と不倫関係を持ち本部長に怒られる
- シンデレラガールズ劇場 第1324話 わかりますか!?
- 6歳ユーチューバー、8億円超のビルを購入してしまう
- 柏木由紀、やっぱりキツ過ぎる
- 【画像】友達のパッパ「ごめんな・・・こんなお酒しかなくてごめんな・・・(どんっ」
- 夜はクーラー消せよwwwwwwwwwwwwwww
- 【悲報】岩倉市の職員さん「あかん、ミスして投票用紙が1枚多くなってしもた…せや!」 → 結果wwwwwww
- 日本人「仕事中に水飲んでる!クレーム入れなきゃ!」
- 【画像】松岡禎丞さん、柔道女子みたいになってしまう
- 人類史で最も偉大な発明と言えば何・・・?
- ワイ33歳会社辞めた結果・・・・・・
- 【悲報】無職さん(31)、マッマから昼ごはんの差し入れがありブチギレ
- 俺「すまん、まだ金返せない」友「返せる時でいいよ!」3ヶ月後友「そろそろ返してほしいっす」←!?
- 韓国国会「日本の輸出規制撤回を求める決議案を可決した。日本は速やかに決定を受け入れろ」
- 多摩地区は奇跡の土地だと思う
- デーブ・スペクターさんが語る「吉本興業」「日本の芸能事務所」「テレビ局との癒着」がまじでヤバすぎる件……
- アメリカが追撃、韓国のWTO優遇措置見直しを要求wwwwwwwww
- 【クッソワロタw】下手くそが『花火とスカイツリー』の写真撮ったらトンデモないことになったwww(画像あり)
- 【ガチ恐怖】これが好きなヒトができたオンナノコの行動だょ♥️
- 【閲覧注意26枚】夏だし怖い画像や痛そうな画像を集めよう
- 【アカン...】今田耕司さん、まさかの吉本社長退陣要求
|
|






































konoyubi212
が
しました